TRAGAMONEDAS
Algo más sobre la ingestión de cuerpos extraños
Octubre 2019
La ingestión de un cuerpo extraño es un accidente bastante frecuente en los niños, especialmente en menores de 5 años con un pico de incidencia entre los 3 y 4 años para ambos sexos.
Las monedas son los objetos más frecuentemente ingeridos. Sin embargo hay también una gran variedad de cuerpos extraños que suelen ser tragados. Entre los ellos se destacan las canicas, juguetes pequeños, agujas y alfileres.
La gravedad del accidente depende siempre de tres factores: 1) El tamaño del objeto ingerido, 2) La forma del mismo y 3) Su composición.

El tamaño permitirá o no la progresión del mismo a través del tubo digestivo, teniendo relación también con el calibre de las distintas estructuras según la edad del niño.
Los objetos con forma redondeada o bordes romos suelen facilitar la progresión por la luz de los distintos órganos sin desencadenar obstrucción o lesión, llegando generalmente a la expulsión espontánea por materia fecal. Los objetos con puntas o filos tienen muchas probabilidades de encajarse en algún sector del tubo digestivo provocando lesión y/o obstrucción.

La composición del objeto estará relacionada con la capacidad de producir daño por el contacto del mismo con las paredes del tubo digestivo. Esto es especialmente importante cuando el objeto se detiene en un sector sin avanzar. Las pilas botón constituyen un ejemplo característico pudiendo producir en su trayecto quemaduras eléctricas de bajo voltaje y necrosis de la mucosa digestiva por liberación de su contenido tóxico (mercurio, zinc, óxido de plata, litio y, a veces, hidróxido sódico o potásico).

El atragantamiento y la posibilidad de asfixia están siempre presentes cuando un niño menor a 4 o 5 años ingiere frutos secos como el maní o la garrapiñada. Lo mismo cuando se lleva a la boca objetos pequeños o juguetes no adecuados para la edad.
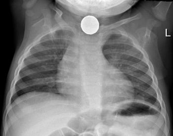
El caso de las monedas es especial. La ingestión de las mismas alcanza también a niños mayores e incluso a adolescentes. La manipulación de las mismas utilizadas como juguetes para entretener a los niños es una conducta bastante frecuente consentida por padres y cuidadores. Además de ser una fuente de todo tipo de gérmenes, la posibilidad de su introducción en la boca es mucho más que probable al igual que su ingestión. Del tamaño de la moneda y de la edad del niño dependerá que la misma no obstruya la vía respiratoria y pueda circular por el tubo digestivo hasta su destino final.

Los niños mayores y los adolescentes tampoco escapan al manejo de monedas u objetos pequeños. A fin de demostrar habilidades suelen ser llevados a la boca y por un simple empujón o broma de sus amigos fácilmente son deglutidos. En algunas oportunidades estos sucesos no son informados a los padres hasta que la duda o el temor llevan a ser divulgados. Es en ese instante donde la familia decide consultar a la guardia. La radiografía no se hace esperar, comprobándose generalmente la situación del objeto en el abdomen, en plena recorrida del tubo digestivo. El mismo finalmente es eliminado por la materia fecal provocando regocijo en el niño y sus padres.

Se conocen casos en los cuales la moneda había quedado detenida en la garganta colocada en bisel. Adherida a las paredes de la misma provoca tos irritativa. Mediante una radiografía de cuello la imagen redondeada típica aparece en la zona del cuello sorprendiendo a todos.

En síntesis, se debe evitar por todos los medios que los niños pequeños jueguen con objetos pequeños u ofrecerles en las comidas trozos pequeños de alimentos duros que difícilmente puedan ser masticados. La utilización de monedas para entretenerlos es un hábito que debe ser suprimido. En todos estos casos la aparición de un cuadro dramático tiene posibilidades de aparecer.
Como datos a tener en cuenta, en forma global, el 80% de los objetos deglutidos se eliminan espontáneamente, un 19% precisan endoscopia (segunda causa más frecuente de endoscopia en la edad pediátrica) y un 1% extracción quirúrgica.